地址:扬州市泰州路45号
门诊服务:0514-82099009
急诊服务:0514-82099016
预约咨询:0514-82209111
健康管理中心:0514-82099799
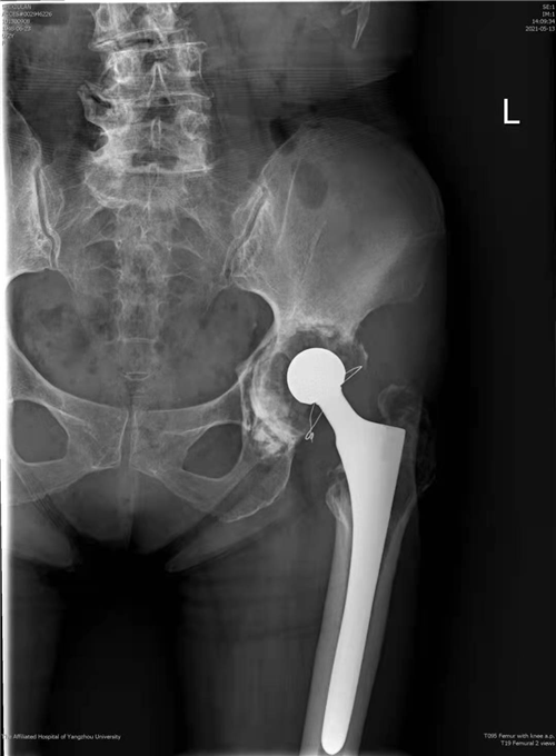
近日,我院骨科关节组副主任医师徐松诊疗团队成功为一名髋关节假体松动患者实施了全髋关节翻修手术。该手术为我院首次独立完成,打破了我院髋关节翻修需请上级专家会诊或转上级医院手术的传统,填补了我院关节技术的空白,为扬州地区髋关节假体松动患者的治疗提供了便利、减轻了经济负担,为该类患者带来了福音。
据了解,患者73岁,女性,7年前因创伤性股骨头坏死接受左全髋关节置换手术治疗,术后髋关节活动一切如常,近3年来患髋逐渐出现疼痛、活动受限,患者渐渐不能行走,长期卧床。因手术难度大、风险高,患者辗转扬州多家医院均遭拒,或建议其上级医院就诊。患者来到我院骨科,接受左全髋关节翻修手术,术后第四天即可下地正常活动,恢复后的患者激动地说:“躺了2年多,我终于可以自己站起来了!”
骨科副主任医师徐饶介绍,人工髋关节置换是我院常规开展的一种手术,但人工假体有使用寿命,经长期不规范使用后假体会出现松动,进而进一步影响髋关节功能,情况严重的患者只能长期卧床,患者生活质量受到严重影响,因此需要再次对人工髋关节进行翻新修复,以恢复髋关节的功能。因为人工髋关节的功能是建立在人工假体的稳定性及周围软组织平衡性基础之上,所以对局部骨量及软组织质量要求都比较高,然而松动的假体往往会破坏局部正常的骨结构,引起局部骨量流失,加之初次手术造成的大量骨质缺失、疤痕粘连、软组织解剖结构异常,该类手术难度往往非常大。现在,经过多年技术的积累与沉淀,我院骨科关节组已经完全具备了独立开展此类手术的技术条件,造福了更多扬州百姓。

